Viêm võng mạc sắc tố, hay còn gọi là Retinitis pigmentosa, là một loại bệnh hiếm gặp do các vấn đề di truyền. Mức độ nghiêm trọng và tốc độ phát triển của bệnh có sự khác biệt, tùy thuộc vào mức độ biến đổi gen và phương thức di truyền.
Viêm Võng Mạc Sắc Tố: Chẩn Đoán Và Cách Điều Trị
Viêm võng mạc sắc tố là một chứng bệnh hiếm, với tỷ lệ mắc bệnh trong dân số khoảng 1/4000 đến 1/3000. Các nghiên cứu cho biết rằng bệnh này có thể liên quan đến sự thay đổi ở hơn 50 loại gen, dẫn đến tình trạng thoái hóa của các tế bào tiếp nhận ánh sáng trong võng mạc.
Bệnh học
Bệnh này chủ yếu do đột biến gen được di truyền từ cha mẹ hoặc cả hai, trong đó hình thức di truyền lặn chiếm khoảng 60% đến 70%, hình thức di truyền trội khoảng 25%, và phần còn lại là di truyền liên quan đến nhiễm sắc thể X. Bệnh có xu hướng xuất hiện nhiều hơn ở nam giới so với nữ giới.
Các triệu chứng của thoái hóa biểu mô sắc tố võng mạc có thể xuất hiện từ khi trẻ mới sinh (mù Leber) hoặc có thể xuất hiện muộn hơn, thường trong độ tuổi từ 10 đến 30.
Bệnh không liên quan đến yếu tố viêm mà chủ yếu là sự thoái hóa diễn ra từ từ, bắt đầu từ các tế bào cảm quang dạng que trong võng mạc (những tế bào này chủ yếu tập trung ở vùng ngoại vi của võng mạc và giúp người ta nhìn rõ trong điều kiện ánh sáng yếu).
Bệnh nhân thường cảm thấy quáng gà (khó thấy khi trời bắt đầu tối). Khi các tế bào que thoái hóa, phạm vi nhìn của họ sẽ dần dần bị thu hẹp lại, cuối cùng chỉ còn như khi nhìn qua ống nhòm (thị trường hình ống).
Tiếp theo sẽ là sự thoái hóa của các tế bào nón. Các tế bào này tập trung ở vùng hoàng điểm, chịu trách nhiệm cho tầm nhìn chính và khả năng nhận diện màu sắc. Do đó, thị lực trung tâm của nhiều bệnh nhân có thể được giữ lại lâu hơn, nhưng thường sẽ giảm mạnh sau độ tuổi 40. Hơn nữa, bệnh nhân còn gặp phải tình trạng rối loạn sắc giác trục xanh – vàng.

Bệnh lý về viêm võng mạc sắc tố
Chẩn đoán viêm võng mạc sắc tố
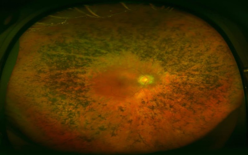
Khi thực hiện kiểm tra đáy mắt, sẽ nhận thấy hình ảnh đặc trưng với các sắc tố đen tụ lại thành những đám hình dạng giống như tế bào xương nằm thẳng hàng hoặc xung quanh các mạch máu. Ở giai đoạn đầu, sắc tố chỉ xuất hiện tại khu vực xích đạo, sau đó sẽ lan rộng ra chu biên và trung tâm cho đến khi gần như toàn bộ vùng võng mạc đều có sắc tố.
Màng Bruch bị tổn thương, khiến vùng võng mạc trở nên mỏng hơn và chuyển sang màu xám, các mạch máu trở nên nhỏ dần – đặc biệt là mao động mạch, sau đó, động mạch trong võng mạc cũng teo lại và trông giống như các sợi chỉ trắng. Vào giai đoạn muộn, đĩa thị co lại, với màu trắng đục giống như sáp ong.
Xét nghiệm cận lâm sàng: điện võng mạc tiêu hủy sớm là dấu hiệu đặc trưng nhất của bệnh. Có những trường hợp mà trên lâm sàng, dấu hiệu sắc tố xuất hiện chậm, nhưng điện võng mạc đã hoàn toàn bị tiêu hủy. Điện võng mạc cũng hữu ích trong việc chẩn đoán phân biệt với các thoái hóa sắc tố thứ phát do nguyên nhân khác.
Xét nghiệm di truyền. Phương pháp này xem xét mẫu máu hoặc các mô khác của bạn để xác định xem có bất kỳ sự bất thường gen nào liên quan đến căn bệnh hay không. Nó cũng cung cấp thông tin về quá trình tiến triển hoặc mức độ nghiêm trọng của bệnh và khả năng điều trị bằng liệu pháp gen để thay thế gen lỗi.
Điện võng mạc. Thử nghiệm này theo dõi hoạt động điện trong võng mạc hoặc sự phản ứng của võng mạc với ánh sáng. Nó tương tự như EKG, dùng để đo lường hoạt động và sức khỏe của tim.
Kiểm tra trường thị giác. RP có thể ảnh hưởng tới tầm nhìn ngoại vi (bên trái, bên phải, phía trên và phía dưới). Kiểm tra trường thị giác giúp xác định tầm nhìn bên và phát hiện bất kỳ điểm mù nào đang hình thành.
Chụp cắt lớp mạch lạc quang học. Còn được gọi là OCT, phương pháp hình ảnh này tạo ra những bức ảnh chi tiết cao về võng mạc của bạn. Nó có thể hỗ trợ trong việc chẩn đoán RP và tìm hiểu cách căn bệnh tác động đến võng mạc.
Một số hình thức hiếm gặp của viêm võng mạc sắc tố
Thoái hóa sắc tố ít hoặc không có sắc tố: bệnh nhân vẫn trải qua các triệu chứng của bệnh nhưng phải qua tuổi 30 mới có dấu hiệu rối loạn sắc tố.
Viêm võng mạc sắc tố chỉ ảnh hưởng đến một bên mắt: các dấu hiệu của viêm võng mạc sắc tố xuất hiện rõ rệt ở một mắt trong khi bên mắt còn lại gần như không có triệu chứng, có thể thấy tổn thương nhẹ về sắc giác và điện võng mạc.
Viêm võng mạc sắc tố kết hợp với các dị tật khác ở mắt: chẳng hạn như giác mạc hình chóp hoặc đục thủy tinh thể bẩm sinh.
Viêm võng mạc sắc tố với biểu hiện đảo ngược: tổn thương xảy ra trước ở các tế bào nón so với tế bào que. Bệnh nhân sẽ gặp mất thị lực trung tâm và tổn thương sắc giác (khả năng nhận biết màu sắc) xảy ra sớm hơn cả sự thu hẹp của thị trường và biểu hiện quáng gà.
Viêm võng mạc sắc tố nằm trong danh sách các bệnh lý và hội chứng toàn thân có liên quan:
Bệnh mù Leber: mất thị lực ngay khi mới sinh, kèm hiện tượng rung giật nhãn cầu
Bệnh Laurence Moon: thừa ngón tay, ngón chân, và phát triển bất thường các bộ phận sinh dục
Bệnh Usher: đi kèm với nghe mất thính giác.
Điều trị viêm võng mạc sắc tố
Việc bổ sung vitamin A mỗi ngày với liều lượng 15000UI sẽ hỗ trợ làm chậm quá trình mất thị lực do viêm võng mạc sắc tố.
Các nhà khoa học đang tìm hiểu nhiều phương pháp điều trị có thể bao gồm cấy ghép võng mạc, cấy ghép võng mạc nhân tạo, và liệu pháp gen đã được tiến hành và cho thấy tính hiệu quả trong điều trị, tuy nhiên hiện vẫn chưa phổ biến và chi phí vẫn còn cao.
Bên cạnh đó, bệnh nhân mắc viêm võng mạc sắc tố cần thường xuyên đi kiểm tra sức khỏe và ngay lập tức khi có bất kỳ triệu chứng bất thường nào để phát hiện những bệnh lý có thể đi kèm như: tật khúc xạ, đục thủy tinh thể, glaucoma, và bong võng mạc… Việc kiểm tra định kỳ và khi có dấu hiệu lạ sẽ giúp điều trị một cách kịp thời, bảo vệ thị lực một cách tốt nhất.

Phương pháp điều trị viêm võng mạc sắc tố
Triệu chứng viêm võng mạc
Với bệnh RP, người bệnh có thể phải đối mặt với những cách giảm thị lực như sau:
Mất khả năng nhìn vào ban đêm. Quáng gà xảy ra khi bạn không thể nhìn thấy gì trong bóng tối. Tầm nhìn của bạn có thể vẫn bình thường vào ban ngày nhưng bắt đầu bị giảm khi trời tối, và thời gian thích nghi với ánh sáng yếu có thể kéo dài hơn. Người bệnh có thể gặp khó khăn khi di chuyển, đụng phải đồ vật, hoặc lái xe vào lúc hoàng hôn và ban đêm. Thậm chí, việc nhìn thấy trong các rạp chiếu phim hoặc những nơi tối tăm khác cũng có thể gặp trở ngại.
Giảm thị lực ngoại vi dần dần. Tình trạng này còn được gọi là “tầm nhìn hầm”. Bạn có thể nhận thấy rằng mình va vào các vật thể xung quanh khi di chuyển. Điều này là do bạn không thể nhận diện được các vật ở bên cạnh và xung quanh.
Giảm thị lực trung tâm: Một số cá nhân còn gặp phải các vấn đề liên quan đến thị lực trung tâm. Tình huống này có thể khiến cho việc thực hiện các hoạt động cần sự chính xác, như là đọc sách hoặc xỏ kim, trở nên khó khăn hơn.
Khó khăn trong việc phân biệt màu sắc. Một số người cũng có thể gặp khó khăn trong việc nhận biết các màu sắc khác nhau.
Kết luận
Bệnh nhân mắc viêm võng mạc sắc tố cần thường xuyên đi kiểm tra sức khỏe và ngay lập tức khi có bất kỳ triệu chứng bất thường nào để phát hiện những bệnh lý có thể đi kèm như: tật khúc xạ, đục thủy tinh thể, glaucoma, và bong võng mạc…



Truqap (Capivasertib): Những thông tin quan trọng, tác dụng phụ và lưu ý
Truqap là một loại thuốc nhắm mục tiêu được sử dụng để điều trị một [...]
Th10
Ung thư vú: Dấu hiệu, nguyên nhân và phương pháp phòng ngừa
Ung thư vú được ghi nhận ở cả nam và nữ, chiếm tỷ lệ 11.7% [...]
Th10
Bệnh Ung Thư Vú Giai Đoạn 1 Có Khỏi Được Không?
Ung thư vú giai đoạn 1 là thời điểm đầu của bệnh, khi khối u [...]
Th10
Top 7 Dấu Hiệu Nhận Biết Bệnh Ung Thư Vú Ở Nữ Giới
Ung thư vú là một trong những loại ung thư thường gặp nhất trên toàn [...]
Th10
Viêm Võng Mạc Sắc Tố: Chẩn Đoán Và Cách Điều Trị
Viêm võng mạc sắc tố, hay còn gọi là Retinitis pigmentosa, là một loại bệnh [...]
Th10
Thuốc Valgahet – Dùng Để Điều Trị Viêm Võng Mạc
Thuốc Valgahet là loại dược phẩm chứa hoạt chất Valganciclovir, được chỉ định để điều [...]
Th10
Tổng Quan Về Bệnh Võng Mạc Trung Tâm- Bạn Nên Biết
Bệnh hắc võng mạc trung tâm là một trong mười tình trạng xảy ra ở [...]
Th10
Top 14 Bệnh Viêm Võng Mạc Thường Gặp: Triệu Chứng Và Chẩn Đoán
Võng mạc là một lớp tế bào đặc biệt được đặt ở phía sau của [...]
Th10